kontrast

Popis ilustrácie

Vysoký kontrast (100%/0%), nízky kontrast (70%/60%).

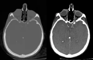
Popis ilustrácie

Snímka ľudskej hlavy vytvorená počítačovým tomografom. Kosť je svetlá, mäkké tkanivá sú sivé. Vľavo je neupravená snímka, vpravo kontrast upravený na skúmanie mäkkých tkanív.

Popis ilustrácie

Vyšší kontrast (ľavá strana), nižší kontrast (pravá strana).

Text hesla

kontrast [tal.] — úplná odlišnosť, protiklad, pravý opak;

1. fotogr. výraznosť rozdielu vo vzhľade dvoch alebo viacerých častí fotografovanej scény alebo fotografie, protiklad svetla a tieňa. Z fyzikálneho hľadiska pomer jasov dvoch alebo viacerých častí fotografovanej scény, pomer transmitancie dvoch alebo viacerých častí obrazu na priehľadnom fotografickom materiáli (negatívnom alebo pozitívnom filme) alebo pomer reflexných koeficientov dvoch alebo viacerých častí fotografie. Kontrastné vlastnosti fotografického materiálu určuje strmosť senzitometrickej krivky (senzitometrickej charakteristiky; → charakteristická krivka). Čím je senzitometrická krivka vo svojej lineárnej časti strmšia, tým je fotografický materiál kontrastnejší, t. j. tým väčšie kontrasty poskytuje. Kontrastné (tvrdo pracujúce) materiály poskytujú prechody medzi svetlom a tieňom prudko, málo kontrastné (mäkko pracujúce) materiály, naopak, plynulo, pričom zobrazujú aj jemné detaily; → fotografická citlivá vrstva; → gradácia;

2. fyz. rozdiel hodnôt priestorovo alebo časovo závislej veličiny (jas, farba a pod.), ktorý umožňuje vzájomné rozlíšenie pozorovaných oblastí. Bežne sa hodnotí subjektívne (→ kontrast jasu, → kontrast farby) alebo sa meria fotometricky;

3. hud. následná alebo súčasná zmena charakteru hudobného procesu v hudobnom diele. Vzniká nápadným striedaním rôznych odtieňov napr. v dynamike, tempe, rytme, ako aj vo farbe, resp. výške tónov a často aj kombináciou rôznych techník, dynamík či rytmov, ktoré môžu v skladbe znieť súčasne (napr. arco a pizzicato alebo slabá dynamika určitej skupiny nástrojov so silnou dynamikou iných skupín nástrojov). Kontrast vytvára protikladné vzťahy medzi jednotlivými úsekmi hudobného diela, a tým podporuje zmenu jeho charakteru. Možno ho stupňovať alebo zmierňovať, hudobní skladatelia ho využívajú najmä pri stupňovaní alebo zmierňovaní napätia v skladbe. Princíp kontrastu sa využíva napr. v inštrumentálnom koncerte (koncertantný princíp); kontrast vytvára aj striedanie častí v skladbe (napr. v sonáte, sólovom koncerte), pričom je typické striedanie najmä tempa a charakteru (rýchla časť – pomalá časť – rýchla časť);

4. a) film. jeden z obrazových štylistických prostriedkov v kompozícii audiovizuálneho diela (filmová montáž, montáž strihovej skladby), ktorý sa realizuje kombináciou protikladných prvkov (svetlý predmet na tmavom pozadí, ostrosť prvého plánu vo filmovom zábere, ostrý strih medzi dvoma náladovo odlišnými zábermi a pod.);

b) lit. antiteton — zámerné spojenie protikladných motívov alebo rôznych zložiek literárneho diela, ktoré sa uplatňuje ako jedna zo základných foriem porovnania i ako hlavný zdroj vnútorného dramatického napätia (→ antitéza). Kontrast sa využíva najmä v rozprávkach (čierno-biely kontrast) a v stredovekej, barokovej a romantickej literatúre;

c) novin. štýlotvorný prvok v novinovom texte, kde je nositeľom konfliktu a napätia v časovej následnosti (dobrý – zlý, mier – vojna, sľuby – realita a pod.).

Zverejnené 11. marca 2022.

Kontrast [online]. Encyclopaedia Beliana, ISBN 978-80-89524-30-3. [cit. 2026-04-30 ]. Dostupné na internete: https://beliana.sav.sk/heslo/kontrast