Skip to main navigation
Encyclopaedia Beliana

Main navigation

  • O Beliane

Mobile navigation

  • Základné možnosti vyhľadávania
  • Encyclopaedia Beliana
  • Encyklopedický ústav SAV
  • Slovenská akadémia vied
  • Kontakt

Odkazy

  • Slovenská akadémia vied
  • Kontakt
Čierno biela verzia stránky
Encyclopaedia Beliana
Čierno biela verzia stránky

Main navigation

  • O Beliane

Mobile navigation

  • Základné možnosti vyhľadávania
  • Encyclopaedia Beliana
  • Encyklopedický ústav SAV
  • Slovenská akadémia vied
  • Kontakt
Možnosti vyhľadávania
  • teplo: všetky gramatické tvary slova teplo
  • teplo*: všetky slová začínajúce sa na teplo
  • slovinsko~: podobné slová (Slovensko, Slovinsko, ...)
  • "zdroj teplo": fráza (všetky tvary)
  • dom teplo: slová dom alebo teplo
  • dom -teplo: slová dom, ale nie teplo
  • dom and teplo: súčasne slová dom aj teplo
Viac o vyhľadávaní Vyhľadávanie podľa kategórií

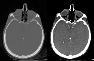
Ilustrácia k heslu kontrast

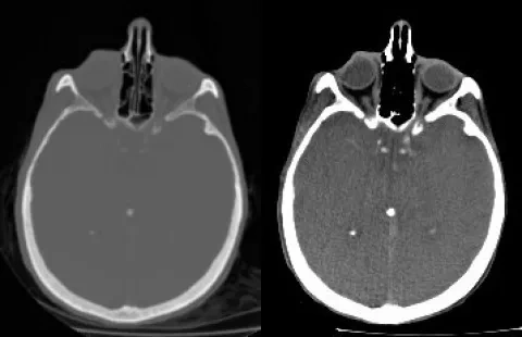
Snímka ľudskej hlavy vytvorená počítačovým tomografom. Kosť je svetlá, mäkké tkanivá sú sivé. Vľavo je neupravená snímka, vpravo kontrast upravený na skúmanie mäkkých tkanív.

Ďalšie informácie o ilustrácii

Licenčné podmienky
Voľné dielo
Inštitúcia
The Stanford volume data archive
Naspäť na stránku hesla
Snímka ľudskej hlavy vytvorená počítačovým tomografom

Menu v päte

  • Podmienky použitia
  • In English
  • Vyhlásenie o prístupnosti
  • Vyhľadávanie podľa kategórií
© Centrum spoločných činností Slovenskej akadémie vied, Encyklopedický ústav